DISKRET, MODERN & EFFEKTIV

Kieferorthopädie für Erwachsene

Mit nahezu unsichtbaren Zahnschienen bieten wir Ihnen eine diskrete Lösung zur Korrektur von Zahnfehlstellungen – individuell angepasst an Ihre Bedürfnisse.

d
Digitale Präzision

Zahnersatz wird mit CAD/CAM auf den Mikrometer genau gefertigt – für optimalen Sitz, maximale Funktionalität und ein natürliches Kaugefühl.

s
Schneller Zahnersatz

Dank digitaler Fertigung können Inlays, Kronen oder Brücken oft innerhalb eines Tages erstellt und eingesetzt werden – ganz ohne Folgetermine.

d
Abdruckfrei & komfortabel

Unangenehme Abdrücke gehören der Vergangenheit an: Der digitale Intraoralscanner ermöglicht eine berührungslose, präzise Erfassung Ihrer Zähne.

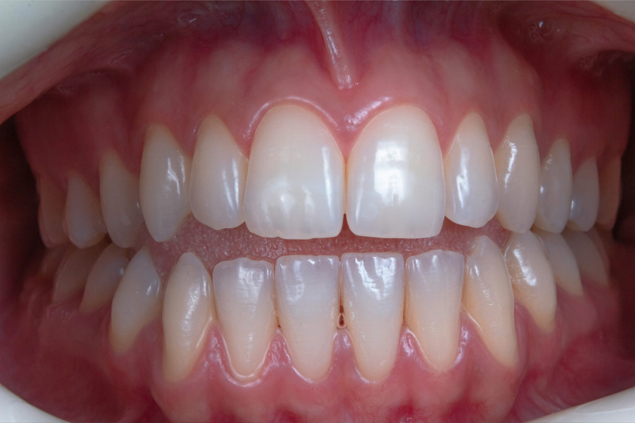
Unsichtbare Zahnkorrektur

Gerade Zähne – diskret und effektiv

Mit nahezu unsichtbaren Schienen (Alignern) lassen sich viele Zahnfehlstellungen bei Erwachsenen schonend und unauffällig korrigieren. Die transparenten Schienen sind herausnehmbar, alltagstauglich und bieten hohen Tragekomfort.

Kieferorthopädie bei Bissproblemen

Funktionell – nicht nur optisch

Schiefe Zähne oder ein falscher Biss können langfristig zu Beschwerden im Kiefergelenk, beim Kauen oder Sprechen führen. Mit gezielter kieferorthopädischer Behandlung verbessern wir nicht nur das Lächeln, sondern auch die Funktion des gesamten Kauapparates.

Ihr Weg zu einem harmonischen Lächeln

Kieferorthopädie für Erwachsene in Bremen

Gerade Zähne bedeuten nicht nur Ästhetik, sondern auch Lebensqualität. In unserer Praxis in Bremen beraten wir Sie persönlich zu den Möglichkeiten moderner Kieferorthopädie im Erwachsenenalter – abgestimmt auf Ihre Ziele, Ihr Zeitbudget und Ihren Alltag.

Häufig gestellte Fragen

Behandlung, Ablauf & Möglichkeiten

Hier finden Sie Antworten auf häufig gestellte Fragen rund um unsere Leistungen im Bereich der ästhetischen Zahnmedizin in Bremen – kompakt und verständlich erklärt.
Bin ich zu alt für eine Zahnkorrektur?
Nein – eine kieferorthopädische Behandlung ist auch im Erwachsenenalter möglich, wenn Zahnfleisch und Zähne gesund sind. Immer mehr Erwachsene entscheiden sich für durchsichtige Schienen (Aligner), um ihre Zahnstellung diskret und komfortabel zu verbessern – ohne festsitzende Apparaturen.
Wie lange dauert die Behandlung bei Erwachsenen?
Die Dauer hängt von der individuellen Zahnstellung ab. In der Regel dauert eine Aligner-Behandlung zwischen 6 und 24 Monaten. Wir erstellen für Sie in unserer Praxis in Bremen einen persönlichen Behandlungsplan und begleiten Sie mit regelmäßigen Kontrollen – Schritt für Schritt bis zum Ziel.
Sind Aligner wirklich unsichtbar?
Ja, Aligner sind nahezu unsichtbar. Die transparenten Zahnschienen passen sich diskret an Ihre Zahnreihe an und lassen sich zum Essen oder Zähneputzen einfach herausnehmen. Besonders im Berufsalltag sind sie eine komfortable und unauffällige Lösung.
Wird die Behandlung von der Krankenkasse übernommen?
Bei Erwachsenen übernimmt die gesetzliche Krankenkasse in der Regel keine kieferorthopädische Behandlung. In Einzelfällen mit medizinischer Notwendigkeit sind Ausnahmen möglich. Wir beraten Sie gerne zu den Kosten und erstellen bei Bedarf einen Heil- und Kostenplan.
Ist die Behandlung schmerzhaft?
Zu Beginn oder beim Wechsel auf ein neues Aligner-Set kann es zu leichtem Druck kommen. Dieses Gefühl ist in der Regel nach wenigen Tagen verschwunden. Unsere Praxis begleitet Sie während der gesamten Behandlung – für ein sicheres und angenehmes Behandlungserlebnis.
1Praxis-Zahnarztpraxis-Jungholdt-Seyer-Bremen

Termin vereinbaren? Wir sind nur einen Anruf entfernt!

Rufen Sie uns an unter – wir beraten Sie gerne persönlich und finden gemeinsam einen passenden Termin.

Termine vergeben wir ausschließlich telefonisch oder persönlich vor Ort.

Kontakt

Heinrich-Plett-Allee 78,
28259 Bremen

Anfahrt